Comprehensive Periodontal Services in Oakville, ON

Get Comprehensive Periodontal Services at Shore Side Dentistry

At Shore Side Family Dentistry, we understand that healthy gums are the cornerstone of overall oral health. Led by Dr. Peter Taylor and periodontist Dr. Kokosis, our team provides comprehensive periodontal care tailored to the unique needs of our patients. Our goal as dentists and periodontists is to prevent, diagnose, and treat periodontal diseases, enhancing your oral well-being and quality of life.
Comprehensive Periodontal Service | Shore Side dental Oakville

Early Detection and Treatment
of Gum Disease

The Importance of Early Intervention

Gum disease, also called periodontal disease, quite often starts silently but can have serious consequences if left untreated. Early intervention is critical to preventing progression to more severe stages. Symptoms like bleeding gums, bad breath, and gum recession should never be ignored.

Scaling and Root Planing

In those instances when we encounter early-stage gum disease (also known as gingivitis), we recommend scaling and root planing. This deep-cleaning process targets the root of the problem by removing plaque and tartar buildup beneath the gum line. Scaling and root planing not only help reduce inflammation but also prevent the disease from advancing to periodontitis.

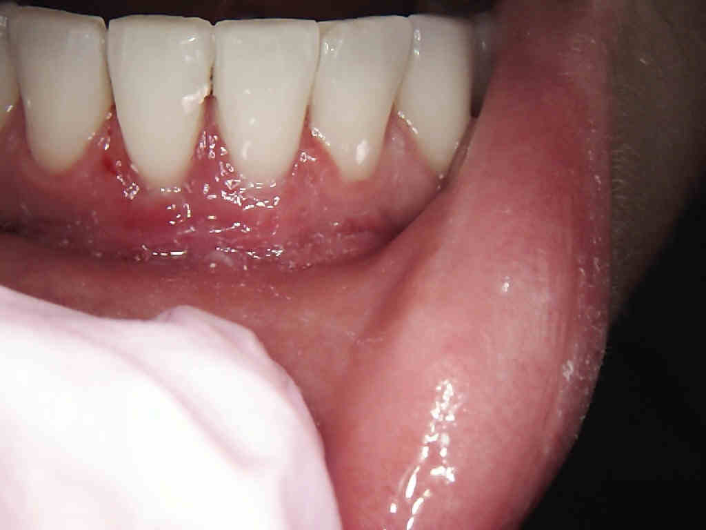
Bleeding Gums

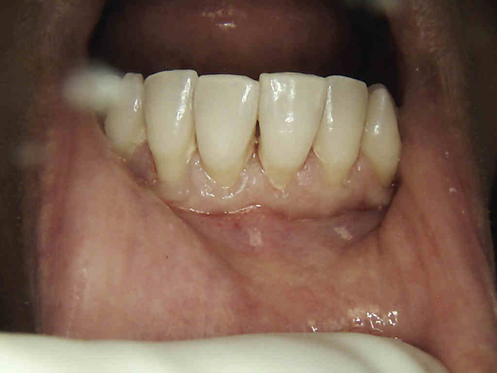
Before

After

Note that these are preoperative recession cases that have minimal connective tissue.
The reason for the connective tissue graft is to ensure that the patient preserves bone and minimizes horizontal bone loss.

Comprehensive Solutions in Oakville for
Advanced Periodontal Disease

Flap Surgery

In cases where periodontal pockets have formed due to advanced gum disease, flap surgery may be necessary. During the flap surgery procedure, the gums are carefully lifted to allow thorough cleaning of the tooth roots and bone surfaces. The gums are then repositioned to fit snugly around the teeth, reducing pocket depth and promoting healing.

Bone Grafting and Guided Tissue Regeneration

Periodontitis quite often leads to the loss of bone supporting the teeth. To address this, we offer bone grafting and guided tissue regeneration. These procedures help restore lost bone and encourage the growth of new, healthy tissue, thereby stabilizing the teeth and improving the overall structure of the mouth.

Dental Implants: Restoring
Function and Aesthetics

Dental implants are amongst the best solutions for replacing missing teeth. At Shore Side Family Dentistry, we use state-of-the-art techniques to place titanium implants that integrate with the jawbone, thereby providing a stable foundation for prosthetic teeth that not only function but look like natural teeth.

The Dental Implant Process

Initial Consultation

A thorough examination and consultation to determine the best treatment plan.

Implant Placement

In this stage, titanium posts are surgically placed into the jawbone.

Healing Period

In the next stage, the implants fuse with the bone in a process called osseointegration.

Abutment Placement

A connector post is attached to the implant.

Restoration

The final crown, bridge, or denture is placed, completing the restoration.

Innovative Treatments for
Gum Recession

Pinhole Surgical Technique

Gum recession is a common periodontal concern which has the potential to affect the health of your smile, as well as the appearance of your smile. The Pinhole Surgical Technique is a minimally invasive procedure that allows us to reposition receding gums without the need for incisions or sutures. This technique results in less discomfort and a faster recovery time.

Traditional Gum Grafting

For more extensive cases of recession, traditional gum grafting may be recommended. This involves taking tissue from a donor source and grafting the tissue onto the affected area. Gum grafting not only covers exposed roots but also improves the gum line’s appearance and health.

Unhealthy to Healthy Gums

Before

After

Note that these are preoperative recession cases that have minimal connective tissue.
The reason for the connective tissue graft is to ensure that the patient preserves bone and minimizes horizontal bone loss.

Addressing Aesthetic Concerns with
Cosmetic Periodontics

Gum Contouring and Crown Lengthening

Cosmetic periodontal procedures, such as gum contouring and crown lengthening, can reshape uneven gum lines and correct a “gummy smile.” These treatments help create a more balanced and aesthetically pleasing appearance by adjusting the gum tissue to expose more of the natural tooth.

Treatment for Dark Pigmentation

Gum depigmentation treatments are available for those with dark spots or patches on their gums due to excess melanin. Using advanced laser technology, we can lighten and even out the gum colour, providing a uniform and attractive look.

Gum Recession & Exposed roots

Before

After

Note that these are preoperative recession cases that have minimal connective tissue.
The reason for the connective tissue graft is to ensure that the patient preserves bone and minimizes horizontal bone loss.

Laser-Assisted New Attachment Procedure (LANAP)

Advanced Laser Therapy
for Gum Disease

LANAP is a modern laser treatment that offers a less invasive option for treating moderate to severe gum disease. Using laser energy, this procedure selectively removes diseased tissue while preserving healthy tissue and promoting bone regeneration. LANAP is particularly beneficial for patients who are looking for a treatment option with minimal discomfort and a quicker recovery.

Addressing Aesthetic Concerns with
Cosmetic Periodontics

Personalized Care for Bleeding and Swollen Gums

Bleeding gums are often an early sign that warns of the potential presence of periodontal disease. At Shore Side Family Dentistry, we provide a comprehensive periodontic evaluation to identify the root cause of the problem. Our personalized treatment plans include professional cleanings, scaling and root planing. We further advise you on home care techniques that effectively address bleeding and inflammation.

Comprehensive Periodontal Maintenance

After completing active periodontal therapy, ongoing maintenance is essential to prevent recurrence. Our periodontal maintenance program includes examinations and regular cleanings to monitor your gum health and ensure that any signs of disease are detected early. We work closely with you to develop a home care routine that complements your in-office treatments, helping you maintain healthy gums for life.

Why Choose Shore Side Family
Dentistry in Oakville?

Shore Side Family Dentistry is committed to providing exceptional periodontal care in Oakville. Dr. Peter Taylor and Dr. Kokosis bring years of experience and a compassionate approach to every patient they treat.

We use modern technology and evidence-based practices to offer comprehensive periodontal services that address both functional and aesthetic concerns.

Our patient-centric philosophy means we tailor each treatment plan to meet your unique treatment requirements.

Whether you’re seeking to manage gum disease, replace missing teeth, or enhance your smile’s appearance, Shore Side Dentistry is here to help you achieve your desired oral health and, with that, a confident, radiant smile.

Schedule a Consultation with
Dr. Kokosis Today

Therefore, if you are experiencing symptoms that may point to gum disease, such as bleeding, swelling, gum recession, or have concerns about your periodontal health, don’t wait to seek professional care. Contact Shore Side Family Dentistry in Oakville to schedule a consultation with Dr. Kokosis. Our team will provide you with a thorough evaluation of your condition and will prepare a personalized treatment plan to address your needs. At Shore Side Family Dentistry, our purpose is to help you get and maintain healthy gums and a beautiful smile for life. Your journey to optimal periodontal health begins with a single step—reach out to us today and take control of your oral health.