Invisalign aligners in
Oakville, ON
What makes our Oakville dental clinic different
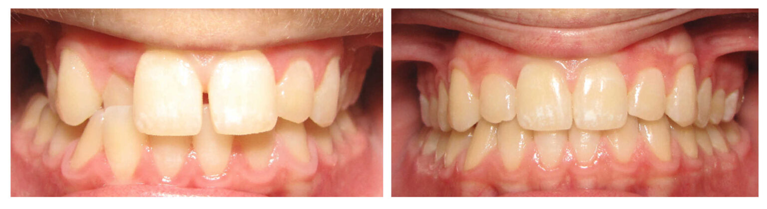
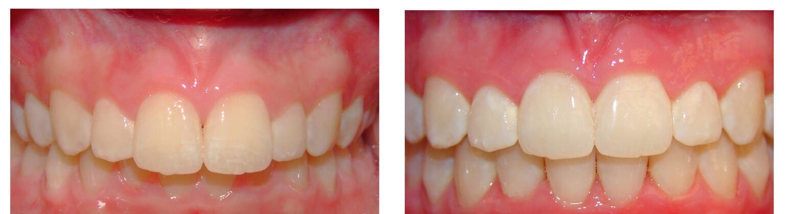
Exceptional Invisalign is Ideal Solution to Correct Gapped Teeth, Crooked Teeth, or Misaligned Teeth
Invisalign® is a revolutionary approach to orthodontics that redefines how we achieve those captivating, beautifully aligned smiles.
That’s Invisalign for you – a game-changing orthodontic procedure that’s turning heads and transforming lives.
Say goodbye to the old-school metal wires and brackets; Invisalign introduces a new era of orthodontic treatment with its clear, replaceable aligners.
It’s like magic for your teeth, gently guiding them into their rightful positions over time.
But that’s not all – these aligners are virtually invisible, making the journey to your dream smile a discreet and comfortable one.
A Closer Look at Invisalign® Treatment
Let’s break it down – Invisalign® is all about transforming your smile with a touch of modern magic and precise treatment planning.
Imagine saying farewell to the clunky, metal-mouth look of traditional braces and embracing a sleeker, more discreet approach.
That’s exactly what Invisalign brings to the table – a cutting-edge orthodontic procedure that works its wonders using nearly invisible aligners.
No more metal wires and brackets stealing the spotlight; these aligners are crafted from smooth, see-through plastic that’s all about subtlety.
What’s the secret sauce, you ask? Invisalign aligners are practically undetectable when worn, making them a game-changer for anyone seeking orthodontic treatment without the attention-grabbing hardware.
So, if you’re ready to bid farewell to the era of bulky braces and say hello to a journey that’s all about comfort, convenience, and newfound confidence, Invisalign is your ticket to that radiant smile you’ve always dreamed of.
Your journey begins here!
What Does Invisalign® Treat?
Invisalign® can be used to treat misaligned or crooked of teeth to help you improve your smile. Invisalign is also able to treat more severe alignment problems called malocclusions. These could be for example:
- Overbite
- Underbite
- Crossbite
- Open Bite
- Crowding (crowded teeth)
The Inner Workings of Invisalign® Aligners
Curious about the nitty-gritty of how Invisalign works its magic?
Let’s dive right in. Before the Invisalign® journey kicks off, a skilled dentist in Oakville takes the reins, conducting a comprehensive evaluation that sets the stage for your transformation.
This isn’t just any treatment plan – it’s personalized, and tailored to your unique dental landscape.
Here’s where the high-tech wizardry comes into play. Cutting-edge digital imaging is brought into the mix, creating a virtual roadmap of how your teeth will gradually move over time.
Think of it as a digital sneak peek into your future perfect smile. With this digital blueprint in hand, a sequence of aligners is crafted, each with a specific purpose in mind.
Now, these aligners aren’t just any ordinary dental gear. They’re like mini-magicians, designed to target precise tooth movements at different stages of your treatment journey.
As you progress from one aligner to the next, your teeth are gently guided toward their ideal positions. It’s like a symphony of careful orchestration, all playing out within the comfort of your mouth.
The result? A smile that reflects the magic of Invisalign and the expertise of your dental team.
The Benefits of Invisalign® Treatment
Invisalign® are Discreet and almost Invisible
Aligners are crafted from smooth plastic, designed to sit comfortably in your mouth. Say goodbye to the discomfort that often accompanies traditional braces. No more awkward adjustments, no more feeling like you've got a mouthful of metal. You will get proper alignment and straight teeth.
Low discomfort
Aligners are crafted from smooth plastic, designed to sit comfortably in your mouth. Say goodbye to the discomfort that often accompanies traditional braces. No more awkward adjustments, no more feeling like you've got a mouthful of metal during your aligner treatment.
Invisalign® are Easy to Remove
With Invisalign®, you're the boss. These aligners aren't fixed in place; they're like little accessories you can take off whenever you please. Craving your favorite snack? Go for it. Ready to brush and floss like a champ? No problem. Invisalign aligners give you the power to maintain your regular oral hygiene routine, no compromises needed.
Invisalign® Aligners vs. Traditional Braces
Who Can Benefit From Invisalign® Treatment at
Shore Side Dentistry?
Invisalign® is a great option for a pretty wide variety of people. This list will include both adults and teenagers.
A variety of orthodontic problems, including crowding, gaps, irregular bites, bad bites, overbites, underbites, and crossbites, can be treated with it by your orthodontic specialist.
Please bear in mind that traditional braces might still be the necessary solution in those cases there the misalignment of teeth is of a rather severe order.
The Invisalign® Treatment Process
Consultation for best Orthodontic Option
This is an initial consultation. During this consult, your dentist will assess whether your misalignment of teeth makes you a good candidate for Invisalign® treatment or if the condition requires traditional braces.
Individualized Treatment Plan and Treatment Options
Using Invisalign's technological edge your dentist will then prepare a treatment that is tailored to your very specific requirement. This plan will specify how your teeth will move using the Invisalign process until they are in the final desired position.
Aligner Design
Your treatment plan then becomes the starting point. After this a set of personalized aligners will be made for you. Each aligner is designed to move your teeth a step at a time towards their final position – the position of the smile that you desire.
Gradual Progression
Your teeth will move progressively with each aligner that you wear. Your dentist will guide you about switching to the “next” set of aligners after wearing each previous set of aligners for a period of around two weeks.
Regular Dental Checkups
You must schedule regular visits to the dentist while undergoing Invisalign treatment. This regularity will help your dentist can keep close track of the movement of your teeth as treatment progresses. Plus, it allows the dentist to make any necessary corrections, right when they are needed.
Your new Beautiful Smile and Improved Oral Health
Once your treatment plan is competed, you will be able to reveal your newly beautiful smile to your family, friends and coworkers. They will in fact be able to spot your smile improving for a while before the treatment is completed.
After your Invisalign® Treatment is Complete
Your dentist will definitely advise you to keep using retainers even after your treatment is completed. This is done to help you maintain the position of your teeth after your Invisalign treatment. Your retainers will protect your Invisalign results and stop your teeth from slipping back to their pre-treatment positions.
Information About Invisalign® Treatment
Personalized for Every Smile
Your smile is understandably a very personal thing to you. Invisalign® takes this into account. Your unique dental needs based on the position of your teeth is the basis of the creation of your treatment plan. This personalized treatment plan is designed to ensures that your Invisalign aligners will produce the results that you want, upon completion of your treatment.
How long should you wear your Invisalign aligners every day?
You must wear your aligners consistently. This is essential to get the best orthodontic treatment outcomes. You should wear the aligners for 20 to 22 hours per day, every day. The exception, when you take your aligners out will be for when you eat, drink, brush and floss your teeth. This commitment is essential to ensure that your orthodontic treatment delivers the success that you seek.
How to Care for your Invisalign Braces?
To avoid discoloration and to preserve your dental hygiene, aligners should be cleaned every day with a soft toothbrush and warm water; as well, a half tablet of Polydent weekly for 2 hours.
Monitoring Your Progress with Invisalign
Your dentist will monitor and evaluate the progress of your treatment on a regular basis. Your dentist also makes any required modifications to your treatment plan at the scheduled routine checkups. Open and regular communication with your dentist are vital for a successful Invisalign treatment outcome.
How long do Invisalign appointments last?
Generally, Invisalign® consultations last 30 minutes. The exception will be your initial appointment. The initial delivery appointment could potentially take a couple of hours.
How far apart are Invisalign appointments?
Depending of course, on the degree of complexity and the extent of modification required, your appointments could be spaced from between 6-8 weeks apart, to being scheduled at intervals of 8 to 10 weeks. During each of your consult sessions, Dr. Taylor and his associate dentists will advise you about how frequently you must come to our office.
The Benefits of Invisalign® Treatment by Shore Side Dentistry

Aesthetic Appeal
Since Invisalign® aligners are almost invisible, you can have orthodontic treatment without having anybody notice your teeth. Adults and teenagers who might feel self-conscious about wearing conventional braces will find this feature of Invisalign particularly appealing.

Comfort and Convenience
The aligners’ smooth, BPA-free plastic construction ensures a pleasant comfortable fit and lessens the chance of irritation frequently associated with metal braces. Furthermore, the aligners are simple to take out for eating, brushing, and flossing, promoting better dental health and dietary flexibility.

Predictable Outcomes
A customized treatment plan is developed using cutting-edge 3D imaging technology, mapping out the progressive advancement of your teeth’s movement. This enables you to visualize your treatment process and the outcomes clearly.
Why Choose Shore Side Dentistry for Invisalign in Oakville?
Professionals with experience
Our team of experienced dentists are dedicated to giving you top-notch care and using their knowledge to ensure that your Invisalign journey is successful.
Cutting-Edge Technology
To ensure the most precise and effective orthodontic care, we use the most recent advancements in orthodontic technology, including sophisticated 3D imaging and treatment planning software of Invisalign.
Personalized Approach
We recognize the individuality of each smile. To provide the best results, we customize our Invisalign treatment plans to fit your unique dental needs.
Comprehensive Dental Care
We are committed to offering thorough care and support at every stage, from the initial consultation through the movement of your teeth, and to the arrival of your new smile.
INVISALIGN TREATMENT FOR TEENS IN OAKVILLE, ON
The following features distinguish Invisalign from other dental treatments
Room for growth
Invisalign® Teen makes room for the development of your Teen's teeth. The eruption tabs in Invisalign Teen® helps the treatment adapt to your teen's evolving mouth. Invisalign treatment can begin even when there is a mix of adult and baby teeth.
No stress
You needn't be stressed over whether or not your teen is wearing the aligners for the duration desired. A Blue Dot Wear Indicator on Invisalign Teen® is built to fade to clear over the course of two weeks.
Flexibility in use
While it's crucial for your kid to wear aligners as consistently and as continually as possible – these aligners can be taken out for special occasions like: prom, school portraits, etc.
Safety in sports with Invisalign Teen
Invisalign® is helpful in minimizing sports impact injuries. This injury to the mouth and teeth can happen when teenagers play football, basketball, soccer, or other similar contact sports and get hit in the mouth. Moreover, customized mouthguards fit over Invisalign aligners more comfortably than they do over conventional braces.
Something to smile about
According to a survey by Align Technology Inc. One in two Teens believe that wearing metal braces makes them self-conscious about smiling. Since Invisalign Teen is virtually invisible, your teen can smile with confidence.
Invisalign Teen Features
- There's no need to worry about having a mouthful of metal
- No more grueling monthly wire-tightening appointments
- No more pain and irritation from sharp wires and brackets
- No more waxy residue to shield your mouth from wounds
- No more photo-retouching to remove metal braces
- There are no limitations on what can be eaten
- No more going to the dentist in an emergency to fix wires and brackets
Shore Side Dentistry: Your Invisalign Dentist in Oakville ON
Invisalign FAQs
Most frequent questions and answers about Invisalign
Does Invisalign treatment cause pain?
There is some mild discomfort in using any braces that will move your teeth. Invisalign generally causes less discomfort than conventional braces. The initial use a new set of aligners may cause some discomfort, but this is typically tolerable.
Can I eat anything I want while using Invisalign aligners?
Yes, you can eat whatever you like while undergoing an Invisalign treatment. When dining, aligners should be taken out so you can indulge in your favorite meals without any concerns. After the meal brush your teeth and pop the aligners back.
How long does Invisalign treatment take?
The treatment times varies depending on the specific circumstances and the complexity of treatment. Generally, an Invisalign treatment to align your teeth will take between 12 and 18 months to complete.
Sports and Invisalign – Can I Play?
Yes, you can definitely play sports while wearing Invisalign. However, using a mouthguard for protection is strongly urged.
How frequently should my aligners be cleaned?
To avoid discoloration and to preserve your dental hygiene, aligners should be cleaned every day with a soft toothbrush and warm water.
Is Invisalign Treatment suitable for kids?
Will Invisalign have an impact on my speech?
You could notice a tiny change in your speech at first, but as you become used to wearing the aligners, you’ll rapidly get used to it.
Can I smoke while wearing Invisalign?
You can smoke while wearing your clear aligners. However, smoking while wearing your aligners can discolor them. We recommended that if you do need to smoke, that you take off your aligners before smoking.
What happens if I lose or damage an aligner?
You should speak with your dentist if an aligner is damaged or lost. You dentist is best placed to give you advice on what to do next.
Can I drink beverages while wearing Invisalign?
When drinking any beverage other than water, it is recommended that you take your aligners out. You can of course drink water while wearing them.
Can I get teeth whitening while wearing Invisalign?
If I have dental work like crowns or bridges, would invisalign work?
Some pre-existing dental treatment can coexist with Invisalign. However, it’s crucial that you speak with your Invisalign provider dentist to determine compatibility.
Can Invisalign correct difficult orthodontic problems?
How much does Invisalign treatment cost in Oakville ON
Invisalign treatment can generally be expected to average between $6,000 and $8,000. The treatment cost could of course be lower or higher. The cost of the treatment will depend upon a number of things – the main elements would of which will be, complexity and the length of time required for the treatment, as well as the number of aligners required for complete duration of the treatment.
Bear in mind that your insurance could bring down the cost to you substantially.





